HIV & Anemia: Parvovirus B19 as a Cause | Cureus
- Persistent anemia, a condition marked by a lower-than-normal red blood cell count, can be a particularly challenging complication for individuals living with HIV.
- Parvovirus B19 is a common human virus known for causing fifth disease, a mild rash illness, in children.
- The reason for this heightened susceptibility lies in the virus’s preference for actively dividing cells.
Persistent anemia, a condition marked by a lower-than-normal red blood cell count, can be a particularly challenging complication for individuals living with HIV. While several factors can contribute to anemia in this population, including opportunistic infections and the effects of HIV itself, a less common but significant cause is parvovirus B19 infection. Recent case reports highlight the importance of considering parvovirus B19 as a potential underlying factor in HIV patients experiencing unexplained or persistent anemia.
Parvovirus B19 and Anemia: A Complex Interaction
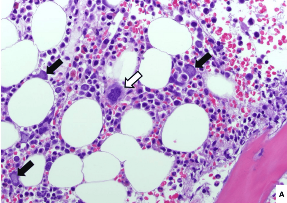
Parvovirus B19 is a common human virus known for causing fifth disease, a mild rash illness, in children. However, in individuals with compromised immune systems, such as those with HIV, parvovirus B19 can lead to more severe and chronic complications, most notably pure red cell aplasia – a condition where the bone marrow stops producing red blood cells. This can result in profound and persistent anemia.
The reason for this heightened susceptibility lies in the virus’s preference for actively dividing cells. Red blood cell precursors, the cells that mature into red blood cells, are rapidly dividing, making them a prime target for parvovirus B19. In a healthy immune system, the virus is typically cleared, and red blood cell production resumes. However, in individuals with HIV, the immune system may be unable to effectively control the infection, leading to its persistence and ongoing suppression of red blood cell production.
Case Studies Illuminate the Problem
Several recent case reports published in Cureus detail instances of persistent anemia in HIV patients ultimately attributed to parvovirus B19 infection. One case described a patient with a long-standing history of HIV who presented with severe anemia that did not respond to typical treatments. Investigation revealed a high viral load of parvovirus B19, confirming the diagnosis. Another report highlighted a similar scenario, where an HIV-positive individual experienced chronic anemia requiring ongoing intravenous immunoglobulin (IVIG) therapy to maintain red blood cell levels.
These cases underscore the diagnostic challenges associated with anemia in HIV patients. The initial focus often centers on more common causes, such as nutritional deficiencies (iron, folate, vitamin B12), opportunistic infections, or the direct effects of antiretroviral therapy. However, if anemia persists despite standard interventions, parvovirus B19 should be considered as a potential cause.
Diagnosis and Treatment Approaches
Diagnosing parvovirus B19-induced anemia involves detecting the virus in the blood. Polymerase chain reaction (PCR) testing is the most sensitive method for identifying parvovirus B19 DNA. Once diagnosed, treatment options are available, although the approach can vary depending on the severity of the anemia and the patient’s overall health status.
In many cases, intravenous immunoglobulin (IVIG) therapy is the mainstay of treatment. IVIG provides a concentrated dose of antibodies that can help neutralize the virus and allow the bone marrow to resume red blood cell production. The duration of IVIG therapy varies, with some patients requiring ongoing maintenance infusions to prevent relapse. The case reports indicate that prolonged IVIG maintenance may be necessary in some HIV patients with persistent parvovirus B19 infection and anemia.
The Importance of Vigilance and Early Detection
The cases described emphasize the importance of a high index of suspicion for parvovirus B19 infection in HIV patients presenting with unexplained or persistent anemia. Early diagnosis and treatment can prevent the development of severe anemia and reduce the need for long-term IVIG therapy. Clinicians should consider parvovirus B19 testing in HIV patients who do not respond to conventional anemia treatments.
ongoing monitoring of viral load is crucial to assess treatment response and detect potential relapse. While parvovirus B19 infection is not a common cause of anemia in the general population, its prevalence appears to be higher in immunocompromised individuals, making it a significant consideration in the management of HIV-related anemia.
Beyond Anemia: Potential for Other Complications
While the primary manifestation of parvovirus B19 infection in immunocompromised individuals is often anemia, it’s important to note that the virus can, in rare instances, lead to other complications. One case report detailed a patient who developed both acute hemolytic anemia and immune thrombocytopenia – a condition characterized by low platelet counts – as a result of parvovirus B19 infection, leading to a diagnosis of Evans syndrome. This highlights the potential for the virus to trigger a broader autoimmune response in susceptible individuals.
Exploring the underlying causes of severe anemia in immunocompromised patients is crucial, as identifying and addressing the root cause can significantly improve patient outcomes. Parvovirus B19, while often overlooked, should be included in the differential diagnosis, particularly when conventional treatments fail to provide relief. Continued research and vigilance are essential to better understand the complex interplay between parvovirus B19, HIV, and the immune system.
